045永久歯の本数が足りない(先天的欠如歯)・歯ぎしり | インプラント・成人矯正(非抜歯)
2025年10月28日
27才、男性です。
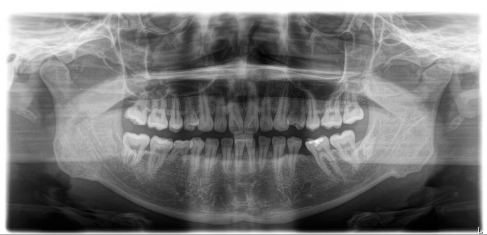
家族から「歯ぎしり」がひどいと指摘されたことが心配でお越しになりました。自分では10代後半に左下の奥歯(乳歯)が抜けてしまい、そのままにしていることで咬み合わせが悪くなったことが「歯ぎしり」の原因ではないか…と思っているとのことでした。


両側とも下の5番目の永久歯が生まれつきありません(先天的欠如歯)。
本人は乳歯しかないところがあることは知っていたようで、今回と同様の相談を1年前に他の歯科医院でもしたところ、矯正治療とインプラント治療が必要と言われたものの、治療には至らなかったそうです。
当院では「歯ぎしり」への対策として、ナイトガードの使用を提案。初診より6日後から就寝中はナイトガードを装着することになりました。
先天的に永久歯がないことや乳歯が残っていることで他の歯の位置がずれ、上下の顎の関係が狂ってしまいます。その結果、呼吸環境が悪化していことが「歯ぎしり」の一因になっている可能性があることを伝え、咬合診断の上、矯正治療とインプラント治療が必要であることをお話ししました。
初診より約2ヵ月後、右下の乳歯の抜歯を行い、アライナー治療を開始しました。
矯正治療開始より1年10ヵ月後、両側下の5番目にインプラントOpeを行い、3ヵ月後プロビジョナルレストレーション(暫間修復歯)を入れることになりました。
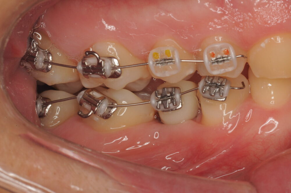
プロビジョナルレストレーション(暫間修復歯)作製のためのスキャンを行い、技工士にデジタルデザインを依頼したところ、左右対称のデザインを実現するには、一部矯正治療の追加が必要であると判断し、右上の奥歯(計8本)のみブラケット治療を行うことになりました。

ブラケット治療開始から8ヵ月、今回の治療目的が達成していることを確認し、再びアライナー治療を再開しました。


治療再開から6ヵ月、奥歯8本に予定していた補綴治療(セラミックの詰め物や被せ物)を行い、治療終了です。
治療前気になっていた「出っ歯」が気にならなくなり、治療前は歯が抜けていない方ばかりを使っていた片方噛みをしなくなったと審美的にも機能的にも仕上がりを喜んでおられます。
治療期間 3年3か月(プレオルソ・アライナー・ブラケット)
費用 2,570,000円(税別)















