045 永久歯の本数が足りない(先天的欠如歯)・でこぼこの歯ならび・歯ぎしり | インプラント・アライナー矯正・マウスピース矯正・ブラケット矯正・メタルフリー | 魚津市 中央歯科医院
2025年10月28日
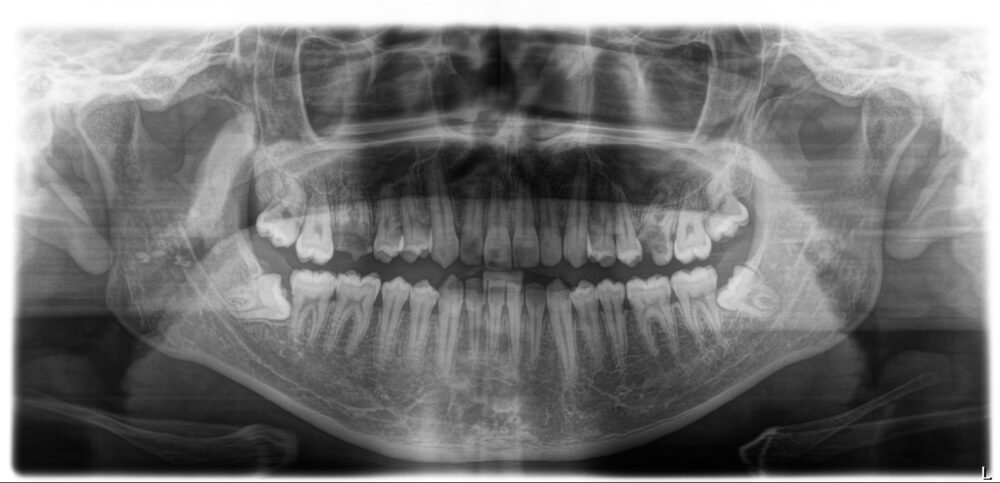
27才、男性です。
家族から「歯ぎしり」がひどいと指摘されたことが心配でお越しになりました。自分では10代後半に左下の奥歯(乳歯)が抜けてしまい、そのままにしていることで咬み合わせが悪くなったことが「歯ぎしり」の原因ではないか…と思っているとのことでした。


両側とも下の5番目の永久歯が生まれつきありません(先天的欠如歯)。
本人は乳歯しかないところがあることは知っていたようで、今回と同様の相談を1年前に他の歯科医院でもしたところ、矯正治療とインプラント治療が必要と言われたものの、治療には至らなかったそうです。
当院では「歯ぎしり」への対策として、ナイトガードの使用を提案。初診より6日後から就寝中はナイトガードを装着することになりました。
先天的に永久歯がないことや乳歯が残っていることで他の歯の位置がずれ、上下の顎の関係が狂ってしまいます。その結果、呼吸環境が悪化していことが「歯ぎしり」の一因になっている可能性があることを伝え、咬合診断の上、矯正治療とインプラント治療が必要であることをお話ししました。
初診より約2ヵ月後、右下の乳歯の抜歯を行い、アライナー治療を開始しました。
矯正治療開始より1年10ヵ月後、両側下の5番目にインプラントOpeを行い、3ヵ月後プロビジョナルレストレーション(暫間修復歯)を入れることになりました。
プロビジョナルレストレーション(暫間修復歯)作製のためのスキャンを行い、技工士にデジタルデザインを依頼したところ、左右対称のデザインを実現するには、一部矯正治療の追加が必要であると判断し、右上の奥歯(計8本)のみブラケット治療を行うことになりました。

ブラケット治療開始から8ヵ月、今回の治療目的が達成していることを確認し、再びアライナー治療を再開しました。


治療再開から6ヵ月、奥歯8本に予定していた補綴治療(セラミックの詰め物や被せ物)を行い、治療終了です。
治療前気になっていた「出っ歯」が気にならなくなり、治療前は歯が抜けていない方ばかりを使っていた片方噛みをしなくなったと審美的にも機能的にも仕上がりを喜んでおられます。
治療期間 3年3か月(プレオルソ・アライナー・ブラケット)
費用 2,570,000円(税別)
ページを見る
044 永久歯の本数が足りない(先天的欠如歯)・でこぼこの歯ならび・交叉咬合(擦れ違い咬合)| ブラケット矯正・インプラント・アライナー矯正・マウスピース矯正・メタルフリー | 黒部市 中央歯科医院
2025年07月16日
17才の女子高校生です。
両側とも下の5番目の永久歯が生まれつきありません(先天的欠如歯)。
中学生の頃「永久歯の本数が少ないこと」は他院で指摘され知ってはいたものの、現時点での対応や将来的な治療については考えてこなかったそう…高校生3年生の春、残っている乳歯がぐらついてきたため、これからのことを不安に思い、母親と一緒に来院しました。
治療相談の為に歯科医院受診したのは当院で3軒目。
1軒目の歯科医院では矯正治療とインプラント治療が必要と言われ、2軒目の矯正専門医では咬み合わせのため、上の5番目の歯を両側2本抜歯し、矯正治療を行う必要があると聞いたそうです。
歯科医院によって異なる治療方法を提案されたことに混乱された様子です…
約1年後には海外へ進学を予定しており、十分な治療期間が確保できないことについても心配しておられました。

院長から治療方法の選択する上で「病気の本質を見失わないこと」の重要性をお話しました。
彼女の問題点は、次の通りです。
・両側下顎の5番目の乳歯が先天的にないこと
・本来あるべき5番目の永久歯と残っている乳歯の横幅が異なる為、他の歯の位置が不適切であること
・上下の顎の関係にズレがあること(アングルⅡ級)
・下顎が気道方向に誘導されている(下顎後方位)
・でこぼこの歯並び
・両側12才臼歯が交叉咬合(擦れ違っている)
母親からの要望は「より正常近い状態を目指すこと」と、「もしも治療継続が出来なくなったとしても他院でも治療が出来るような方法で治療をしたい」とのことでした。
「正常」を目指すなら、先天的に永久歯が足りないところをインプラントで補うことを提案しました。
しかし、通常2~3年の治療期間が必要な矯正治療を1年終えることだけでも難しく、更にインプラント治療の為の期間も確保できるか…お互いわからない状態でした。
話し合いの結果、まずは矯正治療を進め、インプラント治療は矯正治療の進捗状況と進学等の予定と相談し、検討することとしました。
3Dリンガルアーチとブラケットを用いた矯正治療は順調に進み、矯正治療とインプラント治療を並行して進めることを提案し、行うこととなりました。
【治療中】ブラケット+インプラント

治療開始から10ヶ月後、予定していた全ての治療を終え、留学前にホワイトニングを行うことができました。本来、矯正治療前に行った詰め物の再治療(被せ直し)が必要ですが、今回は治療を見送ることとなりました。
【治療完了時】

治療期間 9か月(3Dリンガルアーチ・ブラケット)
費用 1,520,000円(税別)
最初の治療を終えてから約10年後、検診のためお越しになりました。
2年前、右上の奥歯が欠け、海外で詰め物を行うことになった以外、トラブルはなかったそうです。
半年から数年に一度、日本には戻ってきているようですが、滞在期間は短いそう。以前がら日本での歯科治療を受けにくい生活になるとは聞いていましたので、治療終了から10年、大きな問題はなく経過している様子に少し安心しました。
10年前、治療期間が無い中での必死の治療とはいえ、当時の決断がなければ今のような口腔は維持出来ていないでしょう。

咬み合わせのズレと歯並びの乱れがあり、再度、矯正治療を検討することとなりました。
高校卒業後、海外での生活が中心で定期的な通院が難しい為、オンライン診療が可能なアライナー治療を選択。アライナー治療の終盤を迎える頃、コロナの影響で数か月間日本に待機することになり、本来、矯正治療後に行う必要のあった詰め物の再治療(被せ直し)を進めることになりました。
治療を行うまでの治療計画はオンラインにて相談し、帰国後すぐに治療を開始、治療開始から約1ヵ月で補綴治療が完了しました。
【アライナー後再補綴】


これは、矯正・インプラント・補綴治療(被せ物や詰め物を行う)を組み合わせたオーラルリハビリテーションという治療です。
オーラルリハビリテーションは必要な全ての治療同時に行うことが最も合理的ですが、事情により叶わない場合もあります。
その場合、ゴールまでの時間はかかりますが、治療の順序と内容を間違わなければ、最終的には良い状態を作り出すことが出来るのです。
治療期間 2年1か月(アライナー)
費用 1,540,000円(税別)
ページを見る
043 根治予後不良 | 根管治療 | 黒部市 中央歯科医院
2025年06月17日
42才の女性です。
オーラルリハビリテーション(咬合再構成)にあたり、根管治療を行いました。
赤丸で示すよう既に歯冠大(歯ぐきより上に見えている歯の大きさ)以上の大きさの病巣が骨内に確認できます。
他院にて抜髄(神経を取る治療)を行ってから10年以上が経過していることを考えると「抜歯」も検討しましたが、一旦、根管治療を行い「保存」することとしました。
根尖病巣の原因となり得る根管内の感染物を取り除き、再感染しないよう緊密に根管を封鎖します。
治療開始翌日から激しい痛みと腫れが出たものの、1週間程で症状が落ち着き、予定通りの治療を行うことができました。
治療後、2年が経過しレントゲン上で病巣が消失したことが確認できます。

【治療前後のCT画像データ比較】
上顎骨根尖部を水平に輪切りした画像です。赤丸部、根尖病巣により骨が失われています。
治療後、病巣が消失していることが確認できます。

矢状断画像です。
赤丸部、歯冠約2倍大の病巣が確認できます。
治療後、病巣が消失していることが確認できます。

治療期間 1か月(根管治療のみ)
全て保険診療
ページを見る
042 銀歯をなくしたい | メタルフリー・ジルコニア冠 ・ブラケット矯正・ボツリヌストキシン製剤(ボツリヌス菌製剤)注入・メタルフリー | 魚津市 中央歯科医院
2025年06月10日
29才、男性です。
見た目が気になるので銀歯をなくしたい…と初診オンライン相談を受けられました。
院長から「金属をセラミックに変え、治療後の状態を長持ちさせるためには咬み合わせが重要であること」をお話しました。
咬合診断を行うと、咬み合わせに問題があることや咬合力が非常に強いことがわかりました。
歯並びに大きな乱れはないものの、上下の顎の関係にズレがあり、左の1番奥の歯の関係に問題(交叉咬合)があります。たった1本の咬み合わせが擦れ違っているのですが、顎の関節に最も近い場所に異常があると全体に与える影響は大きく、いわゆる「顎関節症」の原因になることもあります。


レントゲンで咬み合わせの高さが不揃いで、波打つような曲線を描きながら歯が並んでいます。
このような状態では上下の歯は互いに壊し合い、人工物(セラミックの詰め物)は割れてしまいます。
補綴治療(白い詰め物に変える)前に「矯正治療」と強い咬合力のコントロールのための「ボツリヌストキシン製剤の咬筋注入」を行いました。
治療開始から2年5ヶ月後、矯正治療を終え、ようやく補綴治療の開始です。


治療前と口元の印象が変わったこと言うまでもありませんが、オーラルリハビリテーション(矯正治療と補綴治療を組み合わせること)により咬合高径(咬み合わせの高さ)が適正になり、顔のバランスが整いました。
咬合の高さが低くなってしまうと下顔面(鼻の下の距離)が短くなり、顔が潰れた印象になってしまいます。

補綴治療後、ホームホワイトニングを行い、口元が更に明るい印象へと大きく変わりました。
歯並び咬み合わせの変化と共に、身体も鍛え、初診時とは別人のような変化を遂げられ、スタッフ一同驚きです。口元の印象が変わることは人を前向きにし、活力を生み出してくれると日々の診療で患者さんを通して強く感じます。
長い人生を共にする歯や口腔が美しくあることが、人生を更に豊かなものへと導いてくれることでしょう…
治療期間 2年7か月(プレオルソ・3Dリンガルアーチ・ブラケット)
費用 2,140,000円(税別)

ページを見る
041 ガタガタの歯並び・歯列不正咬合 | ブラケット治療・マウスピース矯正 | 魚津市 中央歯科医院
2025年06月10日
19才、男性です。
上の前歯が1本飛び出しているし、下の歯が見えづらいことが気になるので矯正治療を相談したい、とのことでお見えになりました。


先に近所の別の歯科医院で矯正治療の相談をしたそうですが、矯正治療の予約可能な日が「月に1度」と決まっており通院が難しいため、他で相談してみようと思われたそうです。
当院は院長自らが矯正治療を始めとするインプラント治療や補綴治療などすべての治療を行います。
矯正専門医以外の多くの歯科医院は大学病院などから矯正歯科医が定期的に訪れ、その日に合わせて患者が受診します。
年単位で治療期間を要する矯正治療中、毎回月に1度の予約可能日に合わせて患者が受診するのは大変なことです…また、器具の破損等の急なトラブルが起こった際にも当院は矯正治療に関する曜日や時間帯の制限がないため、いつでも対応できることは当院の強みでもあります。
歯並びが気になり始めたのは随分前からで「いつか治療したい…社会人になったらやろう…」と決めておられたそうです。
治療方針が決まり、すぐに治療を開始しました。
上下の顎の関係が正常になるようマウスピースと3Dリンガルアーチ(ワイヤー治療)を7カ月行い、親知らずの抜歯を行いました。

ブラケット治療開始から6ヵ月が経過するとほぼ歯ならびは整いましたが、下顎の位置が不安定になるため、その原因についてお話しました。
顎の位置がズレる主な原因は「態癖(身体の使い方や姿勢などの悪習癖)」であると考えられます。
横向き寝や頬杖など歯や顎にかかる力は弱い力でも持続的に力が掛かることで歯並びや咬み合わせに大きな影響を与え、「寝相は第二の矯正治療」とも言わるほどです。
矯正治療中に自身の「態癖」と向き合うことは大切です。
原因を考えることなく治療を終えると治療後にまた異常が生じる可能性が高く危険です。
繰り返し「態癖」についてお話しながらブラケットに加え、リンガルボタンと顎間ゴムを併用しました。


社会人になって始めると決めていた念願の矯正治療…初診時の状態を忘れる程の仕上がりに満足の様子です。
治療後は保定期間(後戻りを防止する為の期間)に入り、リテーナー(後戻り防止装置)を矯正治療期間と同等を目安に使用する予定です。


治療期間 3年3か月(プレオルソ・3Dリンガルアーチ・ブラケット・リンガルボタン)
費用 1,060,000円(税別)
ページを見る
039 部分入れ歯をブリッジへ | メタルフリー・ジルコニア冠・ブリッジ | 魚津市市 中央歯科医院
2024年11月18日
81才、女性です。
20年来、通院している方です。不都合な箇所を部分的に治療してきたものの、口腔内の状況は悪化の一途を辿る一方…

初診から4年が経ち(当時71才)ようやくオーラルリハビリテーション(咬合再建)の為の全顎治療を決意されました。

治療終了から8年経過した頃、下の前歯が1本ぐらつき食事をすると痛みが出るようになりました。
前歯がぐらつき始めた理由はいくつか考えられますが、主な理由は2つです。
①歯のならびに乱れがあった為、歯が列から外れたところに位置しており、不適切な力が長年掛かっていました。その不適切な力が局所的に歯周病を悪化させたようです。
②歯は常に咬み合わせの歯を求めて上に伸びる特性(挺出)があります。歯が上に伸びるということは歯槽骨から歯が出てくるとも言えます。
この方の場合、下の奥歯はインプラントなので位置は変化しませんが、それ以外のご自身の歯は変化し続けます。これにより咬み合わせのバランスが崩れると、今回のように歯がぐらついてきたり、上の入れ歯が不安定になり外れやすくなります。
抜歯後は一旦、部分入れ歯を入れました。


食事の不都合さは予想しておられたようですが、実際に使ってみると着脱が難しかったようです。
年齢的なものか、細かいものを口の中で操作することが辛い様子です。使用から1ヵ月が経過した頃、入れ歯の金具で舌が擦れたり、唇の粘膜を咬むことがあるとの相談があり、治療方針の見直しを行いました。年齢的なこともあり「大袈裟な事はせず、いいのにしてもらいたい」との希望がありました。
今後も②の問題が起こり続けることを考えると、残っている自身の歯8本を土台にブリッジをすることになりました。


治療前は「処置中にむせてしまうのではないか」や「時間の治療に耐えられるか」と不安そうでしたが、開始から4回の通院でスムーズに治療を終えることが出来ました。
天気の良い日は近所の自宅から自転車で来られる程元気な方です。
それでも自力で通院する限界を心配されているようで、年齢的にもこれで最後の治療チャンスと考えておられたようです。
元気なうちに不安のない状態にまで治療を行うことができ、我々もひと安心です。
【院長ブログ】庭じまい
治療期間 1ヵ月半
治療費用 ¥1,150,000(税抜)
ページを見る
038 反対咬合・歯列不正咬合 | マウスピース矯正 | 黒部市 中央歯科医院
2024年10月23日
3才の女の子です。
1才半健診の頃から受け口になっているような気がして、健診や市町村でのフッ素塗布の際に歯科医師や歯科衛生士に相談するものの「いつ頃から治療が出来るのか」誰も答えてくれず、不安だったそうです。
永久歯に生えかわると咬み合わせが変わる可能性がある?!という話を聞いたり、健診で異常を指摘されないこともあり、どのように向き合えばよいか、混乱した様子でした。

「反対咬合」は全ての乳歯が生え揃う2才半を目安に治療を行うことができ、なるべく早く治療を行うことをお勧めしております。
脳と神経の成長は3才で80%を終えます。(スキャモンの発育曲線より)
上顎(特に中顔面)の成長も脳と同様です。
この成長が盛んな時期に「反対咬合」であることは本来の成長の妨げることになり、歯並び咬み合わせだけでなく、顔貌にも影響を与える可能性があります。
当院では早期に治療を行うことにより、その子本来の成長が出来る環境を整えることが重要だと考えます。

治療開始から6ヵ月。 反対改善が改善しました。
重要なのはここからです。
治療をしながら歯並び咬み合わせに大きな影響を与える舌や口唇、頬などの口の周りの筋肉の使い方や癖がないかお家の方と一緒に観察します。
矯正治療は装置を使うことも大切ですが、歯並び咬み合わせを壊す原因を自分自身や家族と一緒に「探り、気付き、直す」ことがとても重要です。装置によって一時的に改善しても、原因に対する気づきがないと改善した状態を維持することは出来ません。

治療前の深刻な状態から考えると、油断は出来ません。
改善はしたものの、上顎の成長が盛んな時期に反対であった代償は大きく、上顎の劣成長は否めません。
今後、時期を見て治療を再開する可能性があることをお伝えし、反対咬合が改善してから1年が経過しましたので、一旦治療を終了することとなりました。
治療期間 1年5カ月(ムータン)
費用 100,000円(税別)

ページを見る
037反対咬合・ガタガタの歯並び・歯列不正咬合 | ブラケット矯正・マウスピース矯正 | 魚津市 中央歯科医院
2024年09月20日
12才(小6)の男の子です。
「不正咬合」が気になる…母親より今の段階で何か出来ることがあれば教えて欲しいとの強い希望がありました。
「反対咬合」は上顎骨と下顎骨の成長時期のズレから生じる「治療開始のリミット」を過ぎてしまうと下顎骨を切断する為の外科手術を伴う矯正治療でないと対応が出来なくなってしまいます。身長が伸びるなどの最もカラダが成長する時期が「治療開始のリミット」です。
下顎骨の成長は成長期が始まるとコントロールが出来なくなります。
上下の顎の関係が正常であれば、下の歯を上の歯が覆うことで下顎の成長はコントロールされますが、「反対咬合」の場合は成長を制限するものが無い為、コントロールが出来なくなり外科処置が必要となるのです。


当院では「反対咬合」の治療適齢時期は3才頃と考えます。
年齢としては適齢が時期を過ぎており、かつ、「治療開始のリミット」も迫る状況ですが、男の子(女の子に比べ成長がゆっくり)ということもあり、すぐに治療を開始すれば下顎骨の成長をコントロール出来ることを説明し、初診から約2週間後より治療を開始しました。
マウスピース治療と3Dリンガルアーチを用い、反対咬合ではない状態を確保、治療開始より1年9カ月経過した頃、ブラケット治療を開始しました。
ブラケット治療開始より1年4ヶ月後、治療を終了しました。

様々なタイプの歯並び咬み合わせの異常がありますが「反対咬合」や「交叉咬合」といった下顎が上顎よりも出た異常は、「治療開始のリミット」があることを早期に理解する必要があります。
「治療開始のリミット」を分かった上で「いつ、どのような治療をするか」判断しましょう。
治療期間 3年1か月(プレオルソ・3Dリンガルアーチ・ブラケット)
費用860,000円(税別)

ページを見る
036 ガタガタの歯並び・歯列不正咬合 | アライナー矯正・マウスピース矯正 | 魚津市 中央歯科医院
2024年04月22日
16才(高校2年生)の女の子です。
上下の前歯が重なっている為、矯正治療希望とのこと。
小学校の歯科検診で「歯並び」を指摘され、小学4年生の頃矯正専門医を受診するも「早い時期に来られてもまだ治療は出来ない…」と言われ、治療を諦めていたそう…
前歯の見た目が気になり歯を見せて笑うことが出来ず、飛び出した前歯の部分が口を閉じると口唇が盛り上がって見えるのも気になるようになってきたそうです。寮に入っている為、マウスピース治療(アライナー治療)でなるべく通院回数を抑えて治療が出来ないか相談の為、お越しになりました。


歯並びの乱れ(叢生)に加え、咬み合わせの基準となる6才臼歯の上下関係にずれがあります。
永久歯の抜歯を回避する為、3Dリンガルアーチにて歯列のアーチを拡げ、6才臼歯の咬み合わせを正常にした上でアライナー治療が望ましいのですが、寮での生活環境や通院について本人・保護者と話し合い末、アライナー治療のみで行うことになりました。
アライナー治療を始める前に下の親知らずの抜歯を行いました。
骨の中に親知らずが埋まっていることで望ましい歯の移動が期待できず、計画通りに治療が進まない原因となります。長期休暇を利用し抜歯を行いました。
通院可能な時は土曜日に、通院が難しい時はオンラインにて診察を行いました。
オンライン診療は、寮から本人のみでの受診でしたが、事前の写真提出もオンライン診療アプリ「クリニクス」を用いた診察もスムーズに行うことが出来ました。


歯科治療全般に言えることですが、特に矯正治療は患者さんの協力無しには成立しません。
その中でもアライナー治療はいかに自己管理出来るかが治療の結果を左右します。
治療方法は単に見た目や治療費だけでなく、自身の生活環境や性格を考え冷静な判断の上、選択が必要でしょう。
治療期間 1年11カ月(プレオルソ・アライナー)
費用860,000円(税別)

ページを見る
035 出っ歯・不正咬合|アライナー矯正・マウスピース矯正|魚津市 中央歯科医院
2024年03月12日
18才(高校3年生)の女の子です。
当院を受診するまで3件の歯科医院で歯並びのことを相談したそう…上の前歯が出ていることや近頃更に出てきた気がすることを相談するも「原因がわからない」「この年齢で歯ぐきが下がるのは珍しい」など治療に関する具体的な話を聞けないままどうしたらよいか悩んでおられました。


「出っ歯」になる原因や歯肉が下がる(退縮)する理由を伝え、矯正治療の必要性をお話ししました。
一般的には永久歯を4本抜歯をして矯正治療を行いますが、当院では口腔容積(舌房)の狭窄化の回避、良好な呼吸環境の確保の目的で極力永久歯を抜かずに矯正治療を行います。
【関連記事】院長ブログ「舌房」がないのは「絶望」はこちら▶
約半年後には県外へ進学も予定しており、通院のことも心配しておられましたので、オンライン診療の併用が可能なアライナー治療を提案しました。
初診から2ヵ月後、アライナー治療を開始しました。
県外に進学してからは連休や長期休暇を利用して来院し、それ以外の時はオンラインして診察を行いました。
オンライン診療では正面から顔や口元の動きがよく観察出来る為、習癖に気づいたり、顔面に対し歯列がどのように変化しているかを把握する上で有効です。口腔周囲の筋肉の使い方は矯正治療後、より良い状態を長く維持する上で重要です。
彼女の場合は「上の前歯が出るような口元の動きをしていること」や「美しい口の閉じ方のポイント」をお話しました。


初診時より右下の奥歯は抜歯~インプラント治療の必要性をお話しましたが、本人の希望により現時点では抜歯をしないこととなり、一旦補綴治療を行うことになりました。
安定した咬み合わせを構築する上で重要な歯です。今後は年に1度レントゲン写真を撮影し、気を付けて経過をみていく必要があります。
専門学校進学~社会人一年目という生活環境が大きく変わる時期に、矯正治療の為の通院を継続することは大変だったかと思います。
治療後の状態が維持出来るよう上の親知らずの抜歯は早めに行いましょう。
治療期間3年(プレオルソ・アライナー)
費用860,000円(税別)

ページを見る